[Metroactive News&Issues]

[ San Jose | Metroactive Central | Archives ]

[whitespace]
Photograph by George Sakkestad

Qué Oral Es? Pacifiers have long been a staple of the all-night rave scene, sometimes as a fashion statement and sometimes as a means to control teeth grinding, which can occur with use of the club drug Ecstasy.

Nightly Grind

As ravers and anti-drug activists debate whether Ecstasy causes brain damage, both sides may be ignoring a serious and immediate problem few can deny: cracking teeth.

By Mary Spicuzza

TABITHA RARELY LEFT for a rave without a baby pacifier. She usually wore one dangling from her neck on a colorful ribbon while heading to the party-of-the-week. If one of her pacifiers wasn't handy, a lollipop would suffice. Her mouthwear was not only fashionable, but also helped ease the jaw clenching and teeth grinding that usually accompanied her partaking of the club drug Ecstasy.

For Tabitha, a native of one of the wealthier Oakland suburbs, raving went beyond recreation. It was her way of life, her source of income and her spiritual medium for saving the world. She made money behind the bar, blending banana-bee pollen-spirulina smoothies for thirsty partiers as they danced until dawn. And Tabitha became so renowned for her dramatic dance moves that friends throwing raves sometimes hired her to inspire the crowd.

This was the early '90s, and Tabitha and her circle of friends, mainly white middle-class teens and twentysomethings from Bay Area suburbs, believed that they were a reincarnated Native American tribe brought back to save the world by spreading peace, love and unity through raves. Many still see PLUR--peace, love, unity and respect--as the ideology fueling rave culture.

To get into the right mental state, Tabitha and most tribe members took a tablet or two of MDMA (3,4 methylenedioxymethaphetamine), an increasingly popular club drug known as Ecstasy, or just E.

At the time, many ravers were worried about what later turned out to be a myth: that E drains a frequent user's spinal fluid. When Tabitha gave up the all-night dance scene and started attending college, the only noticeable residual problems she experienced were sore jaws and troubled teeth.

According to recent studies, chronic E users are experiencing various severe dental maladies, namely cracking enamel, worn teeth and jaw problems. In fact, retainers are beginning to replace pacifiers as the en vogue look at raves.

Despite a newly amped-up national drug program hell-bent on proving that experimenting with E causes brain damage, a serious physical effect is being almost completely overlooked. Members of generation-E may be ruining their teeth.

[line]

Gen-Ecstasy: Fed drug officials amp up efforts to quash use of 'fun drugs.'

[line]

'I'M NOT your average dentist," Hal Crossley, D.D.S., Ph.D., says dryly. Crossley, a dentist and associate professor of pharmacology at the University of Maryland Dental School, spends some of his days with students talking about common woes like gum disease and the importance of flossing. But he also travels all over North America, lecturing about the effects of drugs on users--and their teeth.

Crossley just returned from a dental conference in Vancouver, British Columbia, where he gave a six-hour lecture on drugs, ranging from Ecstasy to more obscure substances like bufotenine, a chemical known to cause hallucinations far stronger than LSD and that can be found in the venom of certain species of toads.

Crossley says conference-goers in Vancouver talked about Ecstasy more than any other drug. According to a 1998 survey, 3.4 million people over the age of 12 have tried E at least once. An average of 18 out of 100 people on the West Coast say they have experimented with E, but only about 3 out of 100 people on the East Coast report the same.

Thus, Crossley says, he hasn't treated many Ecstasy users in his Maryland dental clinic. But Ecstasy is structurally similar to the stimulant methamphetamine, which also causes jaw clenching and teeth grinding in users, so he is familiar with what frequent hug-drug pill-popping can do to teeth.

"I've seen users who have ground their teeth down to nubs. Their molars become flat, polished stumps," Crossley says. "The back teeth go, and then the front teeth are just ground right down. The enamel in the front just dissolves away."

Crossley says that, unlike heroin addicts, who experience decay along the gumline due to a relentless sweet tooth, and heavy pot smokers, who tend to neglect oral hygiene altogether, amphetamine users show tooth wear specific to hours of jaw clenching and teeth grinding.

When asked why so little is known about the effects of Ecstasy on teeth, Crossley says that it's not lack of interest. "Often serious users don't seek routine dental care," he says. "The priority is getting more Ecstasy."

A STUDY CONDUCTED in Britain last year at Liverpool's Maryland Center, a facility specializing in drug- and sex-related medical problems, found that 60 percent of Ecstasy users examined had worn their teeth through the enamel and into the underlying dentine. Users' decay was nearly five times worse than that of the average Brit.

On average, the users weren't dropping E on a daily basis. But all of the individuals surveyed reported taking the drug at dance clubs. Most users reported taking it four times a month, with a mean of 1.5 tablets taken per occasion.

"These visitors are representative of a youth culture which regards recreational drug taking as part of a lifestyle and do not consider themselves to have a drug problem," writes Dr. Alexander Milosevic, who co-authored an article in the August 1999 Community Dentistry and Oral Epidemiology journal. Milosevic is a professor at the University of Liverpool's School of Dentistry.

Incorporating anecdotal evidence from users, researchers found that the friction involved in teeth clenching, combined with an abrasive "dry mouth," leads to extreme tooth wear, worsened by the consumption of soft drinks taken to cool off as Ecstasy raises body temperatures.

"Carbonated (acidic) beverages were consumed by 93 percent of the users with a mean of three cans per 'trip,' " Milosevic's study reports.

Users who experienced nausea and vomiting after taking Ecstasy have greater tooth erosion, due to the decay caused by stomach acids. The study mentions that many users had tried other drugs, like cocaine, LSD, mushrooms, pot and amphetamines, but doesn't say how these other drugs affected the tooth wear found among Ecstasy users. It concludes that doctors and dentists have a lot to learn about the physical effects of Ecstasy use.

"Clinicians seeing cases of tooth wear in young people should attempt to ... prevent further wear," the researchers conclude. "But questions regarding Ecstasy use must be handled in a nonjudgmental and confidential manner."


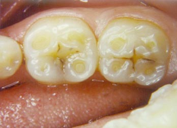
X-filed: A dental photo shows the effects of excessive tooth grinding in a 20-year-old patient--exposed dentine on the cusp tips which are normally covered with tooth enamel.

THIS RECENT STUDY indicating that many Ecstasy users are grinding away their teeth is only the second of its kind. But San Jose-based dentist Steven Cohen says it echoes the problems dentists have witnessed in other amphetamine users.

"What we've found is with any type of amphetamine it brings anxiety, tension, clenching and grinding. It can cause broken and cracked teeth, and nerve damage in the teeth, which can lead to root canals," says Cohen (who is the brother of Metro's publisher, David Cohen). "And people who use a lot of drugs don't usually put dental hygiene as a top priority."

Yet in the United States it appears that no formal studies have explored just how many Ecstasy users are wearing their teeth down to stumps. Most studies and press releases briefly cite some of the suspected physical effects of the drug, which include muscle tension, involuntary teeth clenching, nausea, blurred vision, faintness, chills and sweating. Doctors say MDMA-related deaths at raves have occurred due to E's stimulant effects combined with hot, crowded dance halls, leading to dehydration, hyperthermia, and heart or kidney failure.

"Ecstasy is usually a mixture of chemicals rolled up in one pill. Sometimes it's cut with speed, which would cause you to, of course, grind your teeth [when coming down only] and quivering, feeling anxious and paranoid," says Christine, a 22-year-old raver. She is no naïve user; the San Jose college student has an encyclopedic knowledge about the drug.

"I chose to educate myself because I have been raving for a couple of years and wanted to learn more about what I was doing," Christine says. "The death rate and long-term side effects of dropping Ecstasy [are] nothing compared to smoking cigarettes and drinking alcohol."

Christine is right. The number of E-related deaths in the United States is minuscule compared with those caused by more socially acceptable, legal drugs like alcohol and tobacco. But for all of the talk about America's war on drugs, few studies seem to have taken Ecstasy users' anecdotal tales into account while researching its effects. Most just say research, mainly conducted on lab rats and monkeys, indicates some kind of long-term brain damage.

ANY RAVER CAN TELL you stories about teeth-grinding woes.

"The first time I didn't use a pacifier, I definitely remembered it the next time. My jaw really hurt," says Isabella, a 17-year-old. A veteran raver, Isabella has seen the scene change dramatically since she started going to parties four years ago. She says that raves have never been just about drugs and sex, but more and more mainstream partiers and dealers are hurting ravers' image.

"It set out to be about a place to go to be yourself, have fun, be who you are and have a good time," Isabella says.

Now even mainstream magazines like Details are scrutinizing rave culture.

"After years of Ecstasy popping and dancing till dawn, Chicago ravers are showing signs of wear and tear," the March 2000 issue of Details reads. "They're heading to the orthodontist for retainers to correct their wayward, loosened teeth--a result of the jaw grinding that accompanies Ecstasy use."

Pacifiers and lollipops are so common at raves that they've long become part of mainstream fashion. Even pre-teens on Midwestern playgrounds were sporting pacifiers with their flared jeans and body glitter a couple of years back. But national studies in the United States continue to all but ignore anecdotal evidence and focus on possible effects on the brain.

"I have a few friends whose dentist told them to stop doing Ecstasy because their teeth are decaying," Christine says. But many ravers, in the absence of more widespread harm-reduction education, continue to solve negative effects of jaw clenching in their own way.

Christine adds, "Chewing gum or sucking a lollipop is what a lot of people do."

This apparently is part of the problem.

"If someone uses pacifiers, it can cause orthodontic problems. If you hold it in the front and it pushes on the front teeth, it has the effect of thumb sucking," Cohen says. "With all of that sugar, lollipops are even worse."

[ San Jose | Metroactive Central | Archives ]


From the March 23-29, 2000 issue of Metro, Silicon Valley's Weekly Newspaper.

Copyright © 2000 Metro Publishing Inc. Metroactive is affiliated with the Boulevards Network.

For more information about the San Jose/Silicon Valley area, visit sanjose.com.